INTRODUCCIÓN
El labio y/o paladar hendido es la malformación congénita craneofacial más común, causada por la falta de fusión de los procesos frontonasal y maxilares entre la cuarta y octava semana del desarrollo embrionario. En México, su incidencia es de 1,39 casos por cada 1000 nacimientos vivos, con aproximadamente 3521 nuevos casos anuales1.
Las variaciones anatómicas y opciones terapéuticas influyen en el número de intervenciones quirúrgicas necesarias. En casos con fisuras alveolares amplias, cerrar completamente la fisura supone retos debido a la expansión de tejidos blandos y el volumen de injerto óseo requerido. Problemas como la reabsorción, la exposición o la contaminación del injerto pueden surgir cuando los tejidos blandos son insuficientes3.
La transportación ósea alveolar surge como alternativa eficaz, promoviendo la osteogénesis y la expansión de tejidos blandos. Consiste en la distracción gradual y controlada de un segmento óseo hacia la fisura2,4.
REPORTE O DESCRIPCIÓN DEL CASO
Paciente masculino de 18 años con secuela de labio y paladar hendido bilateral. Acude al servicio de Estomatología-Ortodoncia del Hospital General “Dr. Manuel Gea González” con fístula palatina, fisuras alveolo-palatinas amplias y mordida cruzada anterior. En tratamiento ortodóntico con aparatología fija MBT .022. El caso es retomado tras análisis cefalométrico, clínico y de modelos, continuando la fase de alineación y nivelación. Estudio aprobado por el comité de investigación del hospital (número 07-92-20).
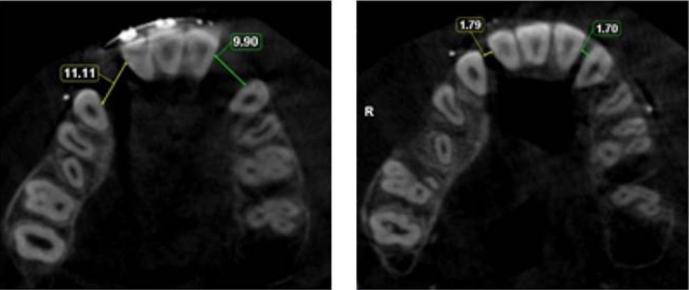
Con arco 0,017 x 0,025 de acero en arcada inferior, se colocan mini implantes mandibulares de 2 x 12 mm para corregir la mordida cruzada anterior. En la arcada superior, el tratamiento ortodóntico avanza hasta corregir la mordida cruzada en cuatro meses. Una vez alcanzados los arcos de acero 0,017 x 0,025, las fisuras alveolo-palatinas miden 11 mm (derecha) y 10 mm (izquierda) (Figura 1), por lo que se decide realizar transportación ósea alveolar bilateral.
El análisis cefalométrico preoperatorio indica transportar mesialmente los segmentos derechos (dientes 13, 14 y 15) e izquierdos (23, 25 y 26). Se confecciona un dispositivo para transportación con arcos de acero calibre 0,036, siguiendo la técnica de anclaje óseo y deslizamiento. Este incluye un arco vestibular accesorio con gancho para fijación a bandas, un arco transpalatino doble, un fijador para la premaxila y cuentas de acrílico calibradas a 1 mm en sustitución de anillos de acero (Figuras 2a, 2b, 2c).
Técnica quirúrgica
Bajo anestesia local supraperióstica con mepivacaína y epinefrina, se realizan incisiones bilaterales y disección maxilar hasta el nervio infraorbitario y raíces dentales, asegurando la ausencia de espinas óseas que dificulten la movilización. Se marcan osteotomías respetando los bloques dentales y se realizan cortes horizontales 5 mm sobre las raíces y verticales entre ellas, utilizando bisturí piezoeléctrico para hueso cortical y esponjoso. Los cortes posteriores y palatinos se completan con cincel y desensambladores para preservar periostio e irrigación. Se colocan placas en “L” con tornillos monocorticales, exponiendo la parte horizontal para los resortes de tracción, repitiendo el proceso bilateral-mente.
En el lado izquierdo, la proximidad del tejido gingival requiere gingivoperiostioplastia inicial; en el derecho, se realiza a los seis días. Los resortes se fijan en los ganchos del arco accesorio y se activa la distracción postquirúrgica con avances diarios de 1 mm. A los cinco días, se añaden botones y cadenas elásticas para facilitar el movimiento debido a la resistencia de los bloques óseos.
Tras dos semanas, se observa la reducción de las fisuras y la elongación de tejidos blandos, fijando los segmentos con ligaduras metálicas y manteniéndolos en contención por 4 meses. Un nuevo estudio con tomografía Cone Beam muestra avances significativos: la fisura derecha disminuye de 11,11 mm a 1,79 mm y la izquierda de 9,90 mm a 1,70 mm, con adecuada formación ósea en ambas zonas. Se detecta una lesión menor en la raíz palatina del primer molar superior derecho, sin comprometer la pulpa ni presentar complicaciones posteriores (Figura 3).
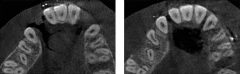
La reconstrucción 3D muestra buen contacto óseo y reducción completa de la fisura izquierda; en el lado derecho, falta tejido óseo radicular, pero el segmento se aproxima satisfactoriamente (Figura 4). En la comparativa de la reconstrucción 3D del lado derecho se observa la aproximación del segmento y la cercanía a nivel dental, sin embargo, debido a la anatomía que presentan los dientes adyacentes a la fisura y la cantidad de hueso alveolar en esta zona, es notable la falta de tejido óseo a nivel radicular para lograr mejor contacto (Figura 5). Del lado izquierdo se observa adecuado contacto a nivel óseo, dental y completa reducción de la fisura (Figura 6). Las fotografías clínicas confirman buena coloración, cobertura de tejidos blandos y reducción de la fístula palatina, logrando continuidad en el maxilar y cierre alveolar (Figura 7).
DISCUSIÓN
La reconstrucción de áreas edéntulas con deficiencias óseas es un reto significativo para cirujanos y ortodoncistas5. La transportación ósea alveolar beneficia el tratamiento de fisuras alveolo-palatinas amplias, reduciendo la necesidad de injertos óseos grandes. Sin embargo, la literatura sobre dispositivos de distracción y evidencia imagenológica de los resultados es limitada.
La distracción osteogénica se estudia desde 1905 por Codivila, y más tarde Illizarov describió principios basados en “tensión-estrés” que permiten alargar hueso y tejidos blandos tras una fractura controlada3. En 1994, Molina y Ortiz-Monasterio documentaron resultados en 106 pacientes con hipoplasia mandibular tratados con osteotomías y dispositivos de distracción, demostrando efectividad en función y estética mediante elongación simultánea de tejidos blandos6.
En 2002, Guerrero introdujo el término transportación ósea intraoral para describir la distracción de segmentos óseos alveolares con dientes, corregir fisuras dentoalveolares y estabilizar la oclusión durante el tratamiento ortodóntico7. Esto facilita el deslizamiento del segmento y permite realizar osteotomías sin afectar raíces dentales cercanas.
La cirugía ortognática ha evolucionado para incluir correcciones funcionales y estéticas, considerando maloclusión, asimetría y mejora facial general8. La distracción ósea proporciona estabilidad y avance sin alterar el habla, con alta satisfacción y menores complicaciones, siendo útil en adolescentes que podrían requerir cirugías adicionales por retrusión del tercio medio facial9.
Mitsugi destacó las ventajas de la transportación ósea alveolar frente a injertos de cresta ilíaca en fisuras dentoalveolares amplias tratadas con distracción y ortodoncia. En este caso, se emplearon dispositivos personalizados de bajo coste junto al tratamiento ortodóncico10, siguiendo la técnica de Quezada y cols. con ajustes en el anclaje y elección de materiales4. El resultado fue satisfactorio, permitiendo distracción según la curvatura del arco maxilar.
No hay registros previos de comparativas imagenológicas mediante tomografía Cone Beam, lo que amplía el conocimiento sobre los beneficios de este tratamiento. En nuestro caso, los resultados confirmaron la efectividad de la técnica para mejorar la función, estética y formación ósea en fisuras amplias, reforzando su valor clínico.
CONCLUSIÓN
La transportación ósea es una alternativa al tratamiento de fisuras alvéolo palatinas amplias, ofreciendo ventajas sobre los injertos óseos como evitar la necesidad de un sitio donante óseo, mejoría de la estética facial, favorece la restauración protésica posterior al tratamiento y puede ser realizado bajo anestesia local. Sin embargo, requiere previo al mismo, la alineación y nivelación de los dientes involucrados. Deben realizarse más estudios que avalen la metodología presentada para las fisuras alvéolo palatinas en pacientes con labio y paladar hendido.




















