SciELO - Scientific Electronic Library Online

 
vol.26 número103Tortícolis en lactante asociada a infección por citomegalovirus: ¿es un hallazgo casual?¿Pero esto qué es? ¿El ácido valproico es el culpable? índice de autoresíndice de materiabúsqueda de artículos
Home Pagelista alfabética de revistas  

Servicios Personalizados

Revista

Articulo

Indicadores

Links relacionados

  • En proceso de indezaciónCitado por Google
  • No hay articulos similaresSimilares en SciELO
  • En proceso de indezaciónSimilares en Google

Compartir


Pediatría Atención Primaria

versión impresa ISSN 1139-7632

Rev Pediatr Aten Primaria vol.26 no.103 Madrid jul./sep. 2024  Epub 19-Mayo-2025

https://dx.doi.org/10.60147/695146e2 

Notas Clínicas

Un caso de exoftalmos progresivo en una niña de 5 años

A case of progressive exophthalmos in a 5-year-old girl

Marta Martín Gonzáleza  , Ana Isabel Pérez Hernándezb  , Álvaro Pineda Torcuatoc 

aMédico de Familia. Centro de Salud Torrelodones. Madrid. España.

bPediatra. Centro de Salud Torrelodones. Madrid. España.

cMédico de Familia. Servicio de Urgencias. Hospital Universitario Puerta de Hierro. Madrid. España.

RESUMEN

Resumen

El sarcoma fusocelular es un tumor poco frecuente, con escasa presentación en la literatura. Los tumores de partes blandas constituyen un grupo heterogéneo, precisando un abordaje multidisciplinar.

Escolar de 5 años que acude a su pediatra por exoftalmos. Su madre refiere un cuadro progresivo de proptosis en el ojo izquierdo de 6 meses de evolución. No hay pérdida de agudeza visual, pero en las últimas semanas se queja de dolor intermitente con los movimientos oculares. A la exploración, proptosis del ojo izquierdo con lagrimeo intermitente y lesión vascular en porción temporal del mismo ojo. Presenta restricción de los movimientos del ojo izquierdo. Se deriva a urgencias hospitalarias, donde realizan un TAC craneal, objetivándose una lesión retrorbitaria izquierda de 28 x 14 mm, unilateral, que condiciona proptosis, efecto de masa sobre estructuras retroculares y pérdida de esfericidad ocular. Ante los hallazgos en las pruebas de imagen, se decide intervención quirúrgica por medio de craneotomía frontotemporal, recibiendo posteriormente tratamiento complementario con radioterapia local. Ante negatividad de estudios de patología molecular, se interpretó finalmente el resultado como sarcoma “tipo adulto” fusocelular indiferenciado.

Aunque el sarcoma fusocelular indiferenciado es una patología poco frecuente, debe incluirse en el diagnóstico diferencial de las patologías retrorbitarias. El objetivo de este caso es repasar las principales características del sarcoma fusocelular, dada su rápida y agresiva forma de presentación, en un tumor poco frecuente.

Palabras clave: Exoftalmos; Proptosis; Sarcoma

ABSTRACT

Abstract

Spindle cell sarcoma is a rare tumor, with little presentation in the literature. Soft tissue tumors constitute a heterogeneous group, requiring a multidisciplinary approach.

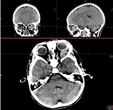
5-year-old schoolboy who goes to his pediatrician for exophthalmos. His mother refers a progressive proptosis in the left eye of 6 months of evolution. No loss of visual acuity, in the last weeks intermittent pain with eye movements. On examination proptosis of the left eye with intermittent tearing and vascular lesion in the temporal portion of the same eye, he presented restriction of left eye movements. He was referred to the hospital emergency department where a head CT scan (Figure 1,2) was performed, revealing a unilateral left retroorbital lesion measuring 28 x 14 mm, causing proptosis, mass effect on retroocular structures and loss of ocular sphericity. Given the findings in the imaging tests, it was decided surgical intervention by means of frontotemporal craniotomy, subsequently receiving complementary treatment with local radiotherapy. Due to negative molecular pathology studies, the result was finally interpreted as undifferentiated 'adult-type' spindle cell sarcoma.

Although undifferentiated spindle cell sarcoma is a rare pathology, it should be included in the differential diagnosis of retro-orbital pathologies. The objective of this case is to review the main characteristics of spindle cell sarcoma, given its rapid and aggressive form of presentation, in a rare tumor.

Key words: Exophthalmos; Proptosis; Sarcoma

INTRODUCCIÓN

El sarcoma fusocelular indiferenciado es un tumor poco frecuente, con escasa presentación en la literatura. Los sarcomas de partes blandas constituyen un grupo heterogéneo de tumores que precisan tratamiento multidisciplinario1.

El objetivo es repasar el sarcoma fusocelular que, pese a ser poco frecuente, presenta una evolución rápida y agresiva.

CASO CLÍNICO

Escolar de 5 años, sin antecedentes personales de interés, que acude a consulta en el centro de salud por exoftalmos. La madre refiere un cuadro de proptosis progresiva en el ojo izquierdo de 6 meses de evolución. Ha recibido diferentes tratamientos ante diversas sospechas diagnósticas, sin respuesta clínica. No refiere pérdida de agudeza visual, pero en la última semana ha referido dolor intermitente asociado a la movilidad ocular. A la exploración física destaca proptosis del ojo izquierdo con lagrimeo intermitente y lesión vascular en porción temporal del mismo ojo. No hay diplopía. Pupilas isocóricas normorreactivas. Movimientos oculares externos (MOE) conservados, aunque presenta restricción de los movimientos del ojo izquierdo. No se palpan adenopatías significativas. No hay signos de focalidad neurológica; el resto de la exploración es normal.

Es derivada a urgencias hospitalarias, donde se realiza TAC craneal sin contraste intravenoso que objetiva una lesión retrorbitaria izquierda de 28 x 14 mm, unilateral, aparentemente extraconal (Figura 1 y Figura 2), que condiciona proptosis, efecto de masa sobre estructuras retroculares y pérdida de esfericidad ocular; se cosidera como primera posibilidad diagnóstica rabdomiosarcoma vs. lesión vasculogénica (hemangioma infantil o malformación venolinfática).

Figura 1. TAC sin contraste: cortes axial, sagital y frontal 

Figura 2. TAC sin contraste: corte sagital 

El estudio analítico inicial muestra hemograma y coagulación normales; en bioquímica destaca LDH 348 UI/l (niveles normales: 110-295). Se realizan una radiografía simple de tórax y una ecografía abdominal normales, y resonancia magnética nuclear (RMN) cerebral con hallazgos de masa orbitaria intra/extraconal con extensión periorbitaria y deformidad de pared lateral secundaria.

Ante los hallazgos en las pruebas de imagen, se decide intervención quirúrgica por medio de craneotomía frontotemporal, recibiendo posteriormente tratamiento complementario con radioterapia local.

La anatomía patológica mostró proliferación fusocelular fibroblástica con moderada atipia y aisladas figuras de mitosis. Siendo el fibrosarcoma infantil la primera posibilidad diagnóstica, se realizaron estudios de patología molecular (ETV y NTRK, entre otros) que resultaron negativos.

Ante negatividad de estudios de patología molecular, se interpretó finalmente el resultado como sarcoma “tipo adulto” fusocelular indiferenciado.

Los tumores malignos en la edad pediátrica son poco frecuentes y requieren en su mayoría de estudio anatomopatológico para llegar a un diagnóstico definitivo1,2.

Los sarcomas de partes blandas se clasifican en rabdomiosarcomas y no rabdomiosarcomas.

Por una parte, los rabdomiosarcomas, representan el 5% de los cánceres infantiles3. Tienen un pico de incidencia en la primera infancia y uno segundo en la adolescencia, siendo su localización más frecuente: cabeza y cuello, genitourinarios, extremidades y órbita2.

El rabdomiosarcoma es el tumor orbitario maligno más prevalente en la infancia. Su incidencia en España se desconoce3.

El rabdomiosarcoma primario orbitario se presenta en la primera década de la vida, con tasa hombre/mujer 5:3. Suele manifestarse como una proptosis rápidamente progresiva, unilateral. En cuanto a la extensión tumoral: erosiones óseas, invasión a senos paranasales e invasión intracraneal ocurren entre un 30 y un 40% de los casos; las metástasis se dan por vía hemática a pulmón y hueso3.

Por otra parte, los sarcomas no rabdomiosarcomas se presentan con mayor incidencia en niños más mayores y en la adolescencia2. Los más frecuentes son el sarcoma sinovial, el tumor maligno de la vaina nerviosa, el fibrosarcoma infantil y los sarcomas vasculares2.

Pueden surgir en cualquier parte del organismo y suelen manifestarse como masas sólidas asintomáticas; en algunos casos producen síntomas por invasión local en estructuras anatómicas adyacentes. Los síntomas sistémicos son poco frecuentes4.

Los sarcomas fusocelulares se engloban dentro del grupo de los sarcomas no rabdomiosarcomatosos y no son habituales en la infancia.

Existe un pequeño número de casos representados en la literatura, de los cuales algunos se han descrito asociados a síndromes malformativos, como el síndrome de Mafucci5.

Los sarcomas fusocelulares son tumores de agresividad intermedia, derivados de células mesenquimales6. Se diferencian en función del tipo celular que constituye dicho patrón: células fibroblásticas, miofibroblásticas, endoteliales, músculo liso o células mesenquimales indiferenciadas, entre otras6. Para tipificar los distintos tipos celulares se emplean paneles inmunohistoquímicos6.

En el caso del sarcoma indiferenciado, el diagnóstico es de exclusión, ya que no presenta una morfología específica7.

En el diagnóstico diferencial de lesiones retrorbitarias deben incluirse también los tumores o lesiones vasculares, como hemangiomas o malformaciones venolinfáticas; la patología infecciosa, como las celulitis; la patología inflamatoria, como la oftalmopatía tiroidea o el pseudotumor inflamatorio; y las anomalías congénitas3.

El hemangioma es la tumoración benigna de crecimiento lentamente progresivo más frecuente. Se caracteriza por la presencia de sinusoides con contenido hemático sin flujo arterial o venoso aparente. Suele manifestarse como proptosis o exoftalmos de largo tiempo de evolución sin otra sintomatología asociada. El tratamiento puede ser conservador con betabloqueantes o quirúrgico8.

Por otro lado, la malformación venolinfática más prevalente (después de anomalías congénitas del desarrollo) es la malformación cavernomatosa venosa9.

CONCLUSIÓN

El sarcoma fusocelular indiferenciado debe incluirse en el diagnóstico diferencial de lesión retrorbitaria, a pesar de su escasa frecuencia. Puede presentarse como proptosis rápidamente progresiva con o sin otra sintomatología asociada.

Para un correcto diagnóstico y tratamiento son necesarias tanto pruebas de imagen como anatomopatológicas con uso de paneles inmunohistoquímicos de cara a un tratamiento multidisciplinar.

CONFLICTO DE INTERESES

Los autores declaran no presentar conflictos de intereses en relación con la preparación y publicación de este artículo.

RESPONSABILIDAD DE LOS AUTORES

Todos los autores han contribuido de forma equivalente en la elaboración del manuscrito publicado.

Los autores han remitido un formulario de consentimiento de los padres/tutores para publicar información de su hijo/a.

BIBLIOGRAFÍA

1 García del Muro X, Martín J, Maurel J, Cubedo R, Bagué S, De Álava E, et al.; Grupo Español de Investigación en Sarcomas (GEIS). Guía de práctica clínica en los sarcomas de partes blandas [Soft tissue sarcomas: clinical practice guidelines]. Med Clin (Barc). 2011;136(9):408.e1-408.e18. https://doi.org/10.1016/j.medcli.2011.02.004 [ Links ]

2 Criterios revisados, acordados por el Consejo Interterritorial, que deben cumplir los CSUR para ser designados. En: Ministerio de Sanidad [en línea] [consultado el 14/12/2022]. Disponible en www.sanidad.gob.es/gl/profesionales/CentrosDeReferencia/docs/Fesp/Fesp57r.pdf [ Links ]

3 Jiménez Morales ML, Gómez Garza G, Criales Cortés JL, Mora Tiscareño MA. Patología orbitaria en la población pediátrica: revisión de hallazgos mediante resonancia magnética. Anales de Radiología México 2015;14:191-208. [ Links ]

4 Tratamiento del sarcoma de tejido blando infantil (PDQ®). En: Instituto Nacional del Cáncer [en línea] [consultado el 14/12/2022]. Disponible en www.cancer.gov/espanol/tipos/sarcoma-de-tejido-blando/pro/tratamiento-tejido-blando-infantil-pdq [ Links ]

5 García Ortega DY, Clara Altamirano MA, Álvarez Cano A, Partida Nava GV, Martínez Said H, Caro Sánchez CHS, et al. Doble primario sincrónico: condrosarcoma y sarcoma fusocelular de alto grado asociado a síndrome de Maffucci [Synchronous primary double: condrosarcoma and sarcoma high grade fusocelular associated with Maffucci syndrome]. Acta Ortop Mex. 2019;33(5):325-8. [ Links ]

6 Manual de procedimientos en los registros hospitalarios de tumores. En: Sociedad española de anatomía patológica [en línea] [consultado el 14/12/2022]. Disponible en www.seap.es/images/stories/recursos/manual-de-procedimientos-en-los-registros-hospitalarios-de-tumores-2007/Manual_procedimientos_RHT.pdf [ Links ]

7 Muñoz Gallego A, Mencía Gutiérrez E, Cámara Jurado M, Gallego Gallego MS, Gutiérrez Díaz E. Sarcoma pleomorfo indiferenciado de alto grado orbitario: a propósito de un caso. Arch Soc Esp Oftalmol. 2014;89(10):425-7. [ Links ]

8 Barros Centeno MF, Mansilla C. Patología vascular órbito-palpebral en niños: una serie de casos. Oftalmol Clin Exp. 2022;15(2):e178-e184. [ Links ]

9 Aliaga A, Palavecino T, Espinoza R, Dellien H. Malformación cavernomatosa: Revisión de una patología clásica. Rev Chil Radiol. 2013;19(3):117-24. http://dx.doi.org/10.4067/S0717-93082013000300006 [ Links ]

Referencia para citar este artículo:Martín González M, Pérez Hernández AI, Pineda Torcuato A. Un caso de exoftalmos progresivo en una niña de 5 años. Rev Pediatr Aten Primaria. 2024;26:301-4.

Creative Commons License Este es un artículo publicado en acceso abierto bajo una licencia Creative Commons