Este es el caso de un hombre de 53 años que precisó oxigenador extracorpóreo de membrana venoarterial (ECMO-VA) tras una parada cardiaca refractaria por fibrilación ventricular secundaria a un infarto agudo de miocardio anterolateral. La canulación se realizó con un drenaje de 25 Fr × 55 cm en la vena femoral derecha y un retorno de 17 Fr × 15 cm en la arteria femoral común izquierda. Se insertó un balón de pulsación intraaórtico (BCIA) vía femoral derecha (7 Fr). Tras estabilizar al paciente, se pudo retirar tanto el ECMO-VA como el BCIAo. Ambos puntos de inserción arterial se sellaron con el sistema Perclose ProGlide (Abbott, Estados Unidos) y el punto de canulación venoso mediante compresión manual.
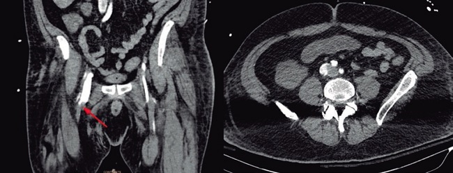
Poco después, el paciente desarrolló un cuadro de shock acompañado de hipoperfusión en la pierna derecha (según lecturas de la espectroscopía cercana al infrarrojo [NIRS] del 17% en la pierna derecha y del 59% en la izquierda). No se observaron cambios evidentes en el electrocardiograma, la ecocardiografía ni en la coronariografía. El análisis de la forma de onda de presión arterial reveló un alto gasto cardíaco, una mayor presión venosa central y un índice de resistencia vascular sistémica bajo. Una angiografía por tomografía computarizada confirmó la presencia de una fístula arteriovenosa de alto flujo entre la vena y arteria femorales derechas (figura 1; la flecha roja muestra una comunicación tubular entre los 2 vasos). Se realizó una prueba de compresión de 10 minutos (tabla 1 y figura 2) para valorar el impacto hemodinámico de la fístula en la que se observó un aumento de la presión arterial media, una disminución del gasto cardiaco y de la integral velocidad/tiempo a nivel del tracto de salida del ventrículo izquierdo, y una reducción significativa de la saturación venosa central de oxígeno.
Tabla 1. Cambios antes y después de la compresión de la FAV.
| Antes de la intervención | Después de la intervención | |
|---|---|---|
| Hemodinámicos | ||
| PAM (mmHg) | 48 | 62 |
| Frecuencia cardiaca (lpm) | 98 | 95 |
| Volumen sistólico (ml) | 46 | 38 |
| GC (l/min) | 4,5 | 3,6 |
| IC (l/min/m2) | 2,2 | 1,8 |
| PVC (mmHg) | 25 | 22 |
| Ecocardiográficos | ||
| TSVI-IVT (cm/2) | 13,4 | 9,2 |
| VTDVD (mm) | 45 | 38 |
| TAPSE (mm) | 13 | 22 |
| Gasométricos | ||
| SvO2 (%) | 87,9 | 60,7 |
| PpaO2 (mmHg) | 97 | 104 |
PAM: presión arterial media; GC: gasto cardíaco; IC: índice cardíaco;PVC: presión venosa central; TSVI-IVT: índice velocidad-tiempo en tracto de salida del ventrículo izquierdo; VTDVD: volumen telediastólico del ventrículo derecho; TAPSE: excursión sistólica del anillo tricuspídeo; SvO2: saturación venosa central de oxígeno; PpaO2: presión parcial arterial de oxígeno.
Tras confirmar el impacto hemodinámico de la fístula, se trató quirúrgicamente con un stent intravascular (Viabahn 8 × 100 mm, GORE, Estados Unidos) en la arteria femoral superficial derecha por parte de los cirujanos vasculares, consiguiendo una notable mejoría tanto de la situación hemodinámica como respiratoria, recuperándose la perfusión en la pierna derecha.
CONSIDERACIONES ÉTICAS
Este trabajo se llevó a cabo siguiendo las recomendaciones éticas de nuestro hospital, aunque no se requirió la aprobación de una revisión ética en participantes humanos de conformidad con la legislación local y los requisitos del centro. Se obtuvo el consentimiento oral tanto del paciente como de su familia. En todo momento se respetó el anonimato de este. En nuestra investigación, intentamos adherirnos, en todo momento, a las directrices SAGER.










texto en 




