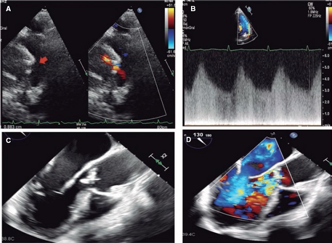
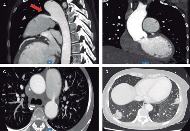
Mujer de 52 años que ingresó por ictus isquémico tratado con trombectomía mecánica. Refería fiebre durante el mes previo y en la exploración destacaba un soplo continuo sistólico-diastólico. Se le realizó un ecocardiograma que evidenció ductus arterioso persistente de 7 × 5 mm con repercusión hemodinámica (sobrecarga de cavidades izquierdas) (figura 1A,B, flecha; vídeos 1 y 2 del material https://doi.org/10.24875/RECIC.M23000427adicional). Se detectó además una verruga sobre la válvula aórtica, con ligera insuficiencia. En hemocultivos se aisló Streptococcus sanguinis. La angiografía de tórax por tomografía computarizada, además de caracterizar el ductus, mostró una vegetación sobre el tronco pulmonar con embolias sépticas pulmonares (figura 2A-D, flecha). Se pautó tratamiento antibiótico por 4 semanas. Ante el empeoramiento ecocardiográfico (crecimiento de vegetación y progresión de la insuficiencia) (figura 1C,D; vídeos 3 y 4 del material adicional https://doi.org/10.24875/RECIC.M23000427adicional) se decidió intervenir quirúrgicamente para sustituir la válvula aórtica por una prótesis mecánica y cerrar el ductus con parche.
En los adultos puede encontrarse el ductus calcificado y dificultar una ligadura simple. En este caso quedó un pequeño shunt residual que se cerró percutáneamente 6 meses después, previa comprobación mediante tomografía por emisión de positrones/tomografía computarizada la ausencia de actividad inflamatoria. Tras la angiografía de aorta descendente, resultó complejo atravesar el ductus por tortuosidad y por el parche previo. Se usó apoyo de microcatéter y balón de angioplastia de 2,5 mm para finalmente implantar un dispositivo Amplatzer Duct Occluder II (Abbott, Estados Unidos) (figura 3A,B, flecha; vídeos 5 y 6 del material adicional https://doi.org/10.24875/RECIC.M23000427adicional).
El ductus es una causa infrecuente de endocarditis, al producir el chorro de flujo turbulento una lesión endotelial que favorece la invasión bacteriana. El cierre «preventivo» de ductus silentes no está contemplado en las guías, pero algunos grupos lo recomiendan al tratarse de un procedimiento de bajo riesgo.
CONSIDERACIONES ÉTICAS
Se obtuvo el consentimiento informado de la paciente para publicar su caso. Al tratarse de un caso clínico aislado no resultan aplicables la mayoría de las consideraciones de las directrices SAGER. Se ha especificado el sexo de la paciente (mujer), pero al tratarse de un reporte de caso clínico, y no de un estudio de investigación, no parece necesario realizar consideraciones adicionales.
MATERIAL ADICIONAL
Se puede consultar material adicional a este artículo en su versión electrónica disponible en https://doi.org/10.24875/RECIC.M23000427.










texto en 





