SciELO - Scientific Electronic Library Online

 
vol.75 número1Guía de la exploración venosa de los miembros inferiores del capítulo de diagnóstico vascular de la SEACVTratamiento endovascular de fístula carotídea yugular por catéter de diálisis con stent cubierto autoexpandible índice de autoresíndice de materiabúsqueda de artículos
Home Pagelista alfabética de revistas  

Servicios Personalizados

Revista

Articulo

Indicadores

Links relacionados

  • En proceso de indezaciónCitado por Google
  • No hay articulos similaresSimilares en SciELO
  • En proceso de indezaciónSimilares en Google

Compartir


Angiología

versión On-line ISSN 1695-2987versión impresa ISSN 0003-3170

Angiología vol.75 no.1 Madrid ene./feb. 2023  Epub 19-Mayo-2023

https://dx.doi.org/10.20960/angiologia.00447 

Casos Clínicos

Manejo conservador de pseudoaneurisma de vena cava iatrogénico

Conservative management of iatrogenic vena cava pseudoaneurysm

Verónica Morillo-Jiménez1  , Teresa Hernández-Ruiz1  , Jennifer Mondragón-Zamora1  , Juan Zafra-Angulo1  , Nieves Aleicel Concepción-Rodríguez1  , Álvaro Fernández-Heredero1 

1Servicio de Angiología, Cirugía Vascular y Endovascular. Hospital Universitario La Paz. Madrid

Resumen

Introducción:

los pseudoaneurismas de vena cava infrarrenal (VCI) son una patología infrecuente, sin tratamiento estandarizado; la mayoría, secundarios a traumatismos abdominales. Presentan una mortalidad del 20-57 %, que no se ha reducido a pesar de avances en el tratamiento. Las lesiones iatrogénicas de la VCI pueden desarrollar hematomas retroperitoneales y pseudoaneurismas. Su manejo debe ser individualizado, con opciones como conservador, quirúrgico o endovascular.

Caso clínico:

se presenta el caso de un varón de 23 años con cardiopatía congénita compleja que ingresa por síncope extrahospitalario con posterior aleteo auricular e inestabilidad hemodinámica. Durante el procedimiento de ablación presenta shock hemorrágico. Precisa drogas vasoactivas y transfusión masiva. Tras su estabilización, se realiza angio TAC abdominal en el que se visualiza hematoma retroperitoneal dependiente de VCI sin hemorragia activa. Dada la comorbilidad del paciente y la estabilidad hemodinámica, se decide tratamiento conservador y control radiológico. En el angio TAC a los 15 días se visualiza pseudoaneurisma de VCI. Decide mantenerse actitud conservadora, retirar la anticoagulación y realizar revisiones periódicas. Se mantiene estable y se decide el alta, con vigilancia estrecha. En el control a los dos meses se objetiva completa resolución del pseudoaneurisma.

Discusión:

dada la complejidad de la patología, la estabilidad hemodinámica y las comorbilidades del paciente, se optó por manejo conservador, sin descartar otras opciones terapéuticas si presentaba empeoramiento clínico o radiológico. El tratamiento del pseudoaneurisma de VCI debe individualizarse, priorizando la clínica y la estabilidad del paciente y vigilando la evolución de la lesión con control radiológico estrecho.

Palabras clave Pseudoaneurisma; Vena cava inferior; Endovascular; Manejo conservador

Abstract

Background:

infrarenal cava vein (ICV) pseudoaneurysms are an infrequent pathology, without standardized treatment. Most secondary to abdominal trauma and may associate arterial injuries. Presenting a mortality of 20-57 %, which has not been reduced, despite advances in treatment. Iatrogenic IVC injuries can develop retroperitoneal hematomas and pseudoaneurysms. Its management must be individualized, with options such as conservative, surgical or endovascular.

Case report:

a 23-year-old male with complex congenital heart disease was admitted due to out-of-hospital syncope with subsequent atrial flutter and hemodynamic instability. During the ablation procedure, he presented hemorrhagic shock requiring doses of vasoactive drugs and massive transfusion. After stabilizing the patient, an abdominal angio-CT was performed, visualizing an IVC-dependent retroperitoneal hematoma with no signs of active bleeding. Given the patient's comorbidity and hemodynamic stability, conservative treatment and radiological control were implemented. CT angiography at 15 days shows IVC pseudoaneurysm. It was decided to maintain a conservative attitude, withdraw anticoagulation and periodic check-ups. Remaining stable, discharge is decided, with close monitoring. At the two months check-up, complete resolution of the pseudoaneurysm is observed.

Discussion:

given the complexity of the pathology, the patient's hemodynamic stability and comorbidities, conservative management was chosen, without ruling out other therapeutic options if presented with clinical or radiological worsening. The treatment of IVC pseudoaneurysm must be individualized, prioritizing the patient's symptoms and stability and monitoring the evolution of the lesion with close radiological control.

Keywords Pseudoaneurysm; Inferior cava vein; Endovascular; Conservative management

INTRODUCCIÓN

Los pseudoaneurismas de la vena cava inferior (VCI) son una patología poco frecuente, sin un tratamiento estandarizado y con poca evidencia científica (1). Su complicación más temida es la ruptura y la consecuente morbimortalidad del paciente (2).

Estas lesiones pueden ser secundarias a traumatismos abdominales penetrantes o iatrogénicas. Se producen durante la retirada de filtros de VCI o como complicación de procedimientos percutáneos. Son pocos los casos descritos en la literatura de pseudoaneurismas de VCI iatrogénicos tras un procedimiento percutáneo cardíaco (3).

Dentro de las posibilidades terapéuticas tenemos el manejo conservador (vigilancia estrecha con pruebas de imagen seriadas), la cirugía convencional (venorrafia, cavoplastia con parche, realización de bypass, shunt atriocaval o ligadura) y el tratamiento endovascular (implante de stent recubierto, angioplastia simple y embolización), este último como terapia definitiva y no como terapia puente (4-6).

CASO CLÍNICO

Presentamos el caso de un paciente varón de 23 años de edad con antecedente de cardiopatía congénita compleja reparada mediante Glenn y Fontan, ventrículo único derecho de doble salida con vasos normorrelacionados, hepatopatía crónica con hipertensión portal y esplenomegalia que ingresó por síncope extrahospitalario.

Una vez en la planta de cardiología se evidenció aleteo auricular con respuesta ventricular rápida e inestabilidad hemodinámica. Ante esto se decidió realizar ablación de foco de actividad anómala cardíaca mediante abordaje percutáneo venoso femoral.

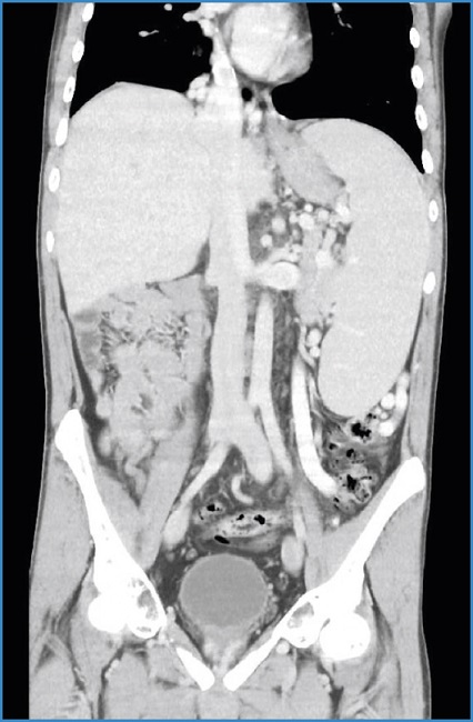
En el posoperatorio inmediato, el paciente desarrolló cuadro compatible con shock hemorrágico, por lo que fue trasladado a la unidad de cuidados intensivos. Se inició tratamiento vasopresor y politrasfusión y se consiguió estabilizar al paciente. Se realizó angio-TAC abdominal, en el que se objetivó hematoma retroperitoneal de predominio derecho de 4 × 7 cm (diámetros anteroposterior AP y transversal T), así como imagen sugestiva de pseudoaneurisma de la VCI distal (36,7 mm AP × 36,9 mm T), con afectación de bifurcación ilíaca y sin signos de hemorragia activa (Fig. 1). Ante este hallazgo se avisó al Servicio de Cirugía Vascular.

Figura 1. Angio-TAC inicial. Lesión dependiente de VCI sin signos de hemorragia activa (flecha verde) y con hematoma retroperitonal extenso. 

A nuestra llegada el paciente presentaba estabilidad hemodinámica, con drogas vasoactivas en descenso y mejoría de cifras de hemoglobina. Dada la comorbilidad cardiológica del paciente, el estado clínico y las escasas posibilidades terapéuticas endovasculares por la anatomía de la lesión de la VCI, se decidió tratamiento conservador y vigilancia clínica y radiológica estrechas.

En el angio-TAC de control a las 48 horas, se objetivó estabilidad del hematoma retroperitoneal y persistencia del pseudoaneurisma de la VCI. Se presentó el caso en sesión multidisciplinar con los servicios de Cardiología Infantil, Unidad de Cuidados Intensivos y Cirugía Vascular y se decidió mantener actitud conservadora, dado el alto riesgo quirúrgico del paciente por su comorbilidad.

Se realizó nuevo control radiológico a las dos semanas, que evidenció pseudoaneurisma de VCI bilobulado de 32,7 × 33,9 mm (AP × T) con afectación de bifurcación ilíaca y extensión a vena ilíaca común derecha, sin signos de hemorragia activa y mejoría del hematoma retroperitoneal. Dada la buena evolución clínica y radiológica, el paciente fue dado de alta para seguimiento ambulatorio.

A los dos meses el paciente acudió a consultas de Cirugía Vascular. Presentaba buen estado general. El angio-TAC reveló la completa resolución del pseudoaneurisma de la VCI y del hematoma retroperitoneal (Fig. 2).

Figura 2. Angio-TAC a los dos meses. Completa resolución del pseudoaneurisma y del hematoma retroperitoneal. 

DISCUSIÓN

Dentro del área retroperitoneal, la vena cava inferior (VCI) está localizada en la zona 1 y su lesión requiere de una actuación rápida y eficaz. Si el cuadro clínico implica inestabilidad hemodinámica con riesgo hemorrágico alto o síndrome compartimental abdominal, deberá explorarse mediante intervención quirúrgica urgente. El abordaje se enfocará dependiendo de la altura en la que se encuentre la lesión. En aquellos pacientes en los que se ha conseguido la estabilidad hemodinámica puede plantearse una actitud conservadora con vigilancia clínica estrecha (7).

En la literatura se ha publicado poco sobre el manejo de los pseudoaneurismas iatrogénicos de la VCI. En la mayoría de los casos recogidos en la literatura, el manejo ha sido endovascular (angioplastia simple) (6,7) o conservador, con control radiológico estrecho si la situación hemodinámica del paciente lo permite (9). Haciendo una evaluación global e individualizada de cada paciente podemos concluir el tratamiento más oportuno en cada caso.

En nuestro caso, se logra estabilizar al paciente hemodinámicamente y se consigue el descenso de drogas vasoactivas. Las características anatómicas del pseudoaneurisma de la VCI distal, con afectación de la bifurcación ilíaca y extensión a vena ilíaca común derecha, hacía muy complicado el tratamiento endovascular (5). Además, la comorbilidad del paciente hacía prohibitiva la realización de una cirugía convencional. Por todo ello se decidió manejo conservador, con vigilancia clínica y radiológica estrechas.

El seguimiento estrecho de los pacientes como abordaje conservador se acepta en la práctica actual. Puede ser exitoso siempre que la clínica del paciente lo permita y pueda realizarse un control clínico y radiológico estrecho.

BIBLIOGRAFÍA

1. Hadied MO, Hieromnimon M, Kapke J, Nijhawan K, Ha T Van, Navuluri R, et al. Caval pseudoaneurysms following complex inferior vena cava filter removal: Clinical significance and patient outcomes. Vascular 2021;29(4):624-9. [ Links ]

2. Piffaretti G, Carafiello G, Piacentino F, Castelli P. Traumatic IVC Injury and Repair: The Endovascular Alternative. Endovasc Today November 2013;39-44. Available from: http://evtoday.com/2013/11/traumatic-ivc-injury-and-repair-the-endovascular-alternative/Links ]

3. Pastoricchio M, Dell'Antonio A, Zecchin M, Bianco E, Zucca A, Biloslavo A, et al. An uncommon case of inferior vena cava injury during atrial fibrillation ablation. J Surg Case Reports 2020;2020(8):1-3. [ Links ]

4. Castater CA, Carlin M, Parker VD, Sciarretta C, Koganti D, Nguyen J, et al. Intra-abdominal Inferior Vena Cava Injuries: Operative Strategies and Outcomes. Am Surg 2021;87(8):1316-26. [ Links ]

5. Drucker C, Bhardwaj A, Benalla O, Crawford R, Sarkar R. Modeling variability in the inferior vena cava into fenestrated endografts for retrohepatic caval injuries. Journal of Vascular Surgery: Venous and Lymphatic Disorders 2020;8(1):62-72. [ Links ]

6. Hadied M, Hieromnimon M, Kapke J, Nijhawan K, Ha T, Navuluri R. Caval pseudoaneurysms following complex inferior vena cava filter removal: Clinical significance and patient outcomes. Vascular 2020;29(4):624-9. [ Links ]

7. Devi A, Kumari R, Mahapatra S. Plain and Contrast Enhanced CT Imaging Findings of a Rare Case of IVC Pseudoaneurysm. Open J Intern Med 2018;08(01):84-8. [ Links ]

8. Causa Andrieu PI, Gómez N, Rabellino MJ, Pejokl J, García-Monaco R. A Non-surgical Treatment for Inferior Vena Cava Pseudoaneurysm Post-Hepatectomy. Cirugía Española (English Ed) 2017;95(5):298-9. [ Links ]

9. Quencer KB, Smith TA, Deipolyi A, Mojibian H, Ayyagari R, Latich I, et al. Procedural complications of inferior vena cava filter retrieval, an illustrated review. CVIR Endovasc 2020;3(1). [ Links ]

Morillo Jiménez V, Hernández Ruiz T, Mondragón Zamora J, Zafra Angulo J, Concepción Rodríguez NA, Fernández Heredero Á. Manejo conservador de pseudoaneurisma de vena cava iatrogénico. Angiología 2023;75(1):43-46

Recibido: 20 de Junio de 2022; Aprobado: 12 de Octubre de 2022

Correspondencia: Verónica Morillo Jiménez. Servicio de Angiología, Cirugía Vascular y Endovascular. Hospital Universitario La Paz. Paseo de la Castellana, 261. 28046 Madrid e-mail: veronicamorillo21@gmail.com

Conflicto de interés: los autores declaran no tener ningún conflicto de interés.

Creative Commons License This is an open-access article distributed under the terms of the Creative Commons Attribution License