SciELO - Scientific Electronic Library Online

 
vol.75 número2Manejo conservador del síndrome de atrapamiento poplíteoDos históricas cirugías endovasculares. Anticipando el futuro índice de autoresíndice de materiabúsqueda de artículos
Home Pagelista alfabética de revistas  

Servicios Personalizados

Revista

Articulo

Indicadores

Links relacionados

  • En proceso de indezaciónCitado por Google
  • No hay articulos similaresSimilares en SciELO
  • En proceso de indezaciónSimilares en Google

Compartir


Angiología

versión On-line ISSN 1695-2987versión impresa ISSN 0003-3170

Angiología vol.75 no.2 Madrid mar./abr. 2023  Epub 18-Mayo-2023

https://dx.doi.org/10.20960/angiologia.00477 

Casos Clínicos

Hallazgo casual de un paraganglioma paraaórtico

An incidentally discovered paraaortic paraganglioma

Álvaro Peñalba-Vicario1  , Esther Bravo-Ruiz1  , Carlos Loureiro-González2  , Jaume Rosselló-Soria3  , María Reyes Vega-Manrique1 

1Servicio de Angiología, Cirugía Vascular y Endovascular. Hospital Universitario de Basurto. Bilbao

2Servicio de Cirugía General y del Aparato Digestivo. Hospital Universitario de Basurto. Bilbao

3Servicio de Anatomía Patológica. Hospital Universitario de Basurto. Bilbao

Resumen

Introducción:

los paragangliomas son tumores neuroendocrinos derivados de células cromafines. Son entidades muy infrecuentes que se localizan típicamente en el cuello o en la base del cráneo. Presentamos el caso de un paraganglioma paraaórtico, una ubicación inusual que cuenta con escasos reportes en la literatura.

Caso clínico:

mujer de 78 años que presenta una masa retroperitoneal hallada de forma casual durante el estudio preoperatorio de una neoplasia ginecológica. Ante la sospecha de un tumor del estroma gastrointestinal o un schawnnoma retroperitoneal, se indica su extirpación quirúrgica. Durante la operación se objetiva una masa muy vascularizada adherida a la cara anterior de la aorta, cuya resección provoca en la paciente un cuadro de crisis hipertensiva y taquicardia asociadas a inestabilidad hemodinámica, que cede tras completar su exéresis. El estudio anatomopatológico posterior confirma la sospecha diagnóstica intraoperatoria de paraganglioma paraaórtico.

Discusión:

los paragangliomas localizados en el abdomen suelen ser productores de catecolaminas y pueden desarrollar clínica adrenérgica de forma espontánea o inducida por fármacos, ejercicio o manipulación quirúrgica, como sucedió en nuestro caso. Un diagnóstico certero es clave para planificar un tratamiento adecuado que permita reducir las posibles complicaciones en este tipo de pacientes.

Palabras clave: Paraganglioma; Aorta; Masa retroperitoneal; Tumores neuroendocrinos; Catecolaminas

Abstract

Introduction:

paragangliomas are neuroendocrine tumours derived from chromaffin cells. They are very rare entities that are typically located in the neck or at the base of the skull. We present the case of a para-aortic paraganglioma, an unusual location that has few reports in the literature.

Case report:

a 78-year-old woman with a retroperitoneal mass found incidentally during the preoperative study for a gynecological neoplasm. Given the suspicion of a gastrointestinal stromal tumour or a retroperitoneal schawnnoma, surgical removal of it was indicated. Intraoperatively, a highly vascularized mass adhered to the anterior face of the aorta was observed, whose resection caused a hypertensive crisis and tachycardia associated with hemodynamic instability, which subsided after completing the exeresis. The subsequent anatomopathological study confirmed the intraoperative diagnostic suspicion of paraaortic paraganglioma.

Discussion:

paragangliomas located in the abdomen are usually catecholamine producers and can develop adrenergic symptoms spontaneously or induced by drugs, exercise, or surgical manipulation, as occurred in our case. An accurate diagnosis is the key to planning an appropriate treatment that allows reducing possible complications in this type of patient.

Keywords: Paraganglioma; Aorta; Retroperitoneal mass; Neuroendocrine tumors; Catecholamines

INTRODUCCIÓN

Los paragangliomas son tumores neuroendocrinos infrecuentes. La mayoría se localiza en la base del cráneo y en el cuello; sin embargo, su ubicación en el abdomen o en la pelvis es extremadamente inusual (1).

En este sentido se presenta un caso de paraganglioma paraaórtico, una localización escasamente reportada en la literatura que confiere a su abordaje diagnóstico y terapéutico un interés especial.

CASO CLÍNICO

Mujer de 78 años, con antecedentes de hipertensión arterial de años de evolución, controlada con dos fármacos antihipertensivos, insuficiencia renal crónica de estadio IV y doble anexectomía que es diagnosticada de un adenocarcinoma de endometrio (G2; pT1b).

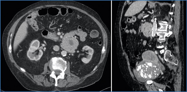
En el estudio preoperatorio de la neoplasia ginecológica se realiza una tomografía axial computarizada (TAC) abdominotorácica pélvica que identifica una masa retroperitoneal (Fig. 1).

Figura 1. TAC: masa retroperitoneal de 7 cm de diámetro, hipervascular, con áreas quísticas-necróticas, bien delimitada, en contacto con la cuarta porción duodenal y la aorta infrarrenal. 

Ante este hallazgo se solicita la valoración por el servicio de cirugía general, y tras presentar el caso en el comité de tumores, se plantea como posibilidad diagnóstica un tumor del estroma gastrointestinal o un schwannoma retroperitoneal. Se decide realizar una resección quirúrgica sin biopsia previa para evitar riesgo de rotura y diseminación.

La intervención se realiza de forma conjunta por los servicios de ginecología y cirugía general mediante laparotomía media. Inicialmente se practica una histerectomía total sin incidencias. Posteriormente, al explorar el espacio retroperitoneal, se identifica una masa muy vascularizada y adherida a la cara anterior de la aorta infrarrenal, por lo que se solicita la colaboración del servicio de cirugía vascular. Durante la resección la paciente sufre una crisis hipertensiva asociada a taquicardia con inestabilidad hemodinámica, que se controla con estricto manejo anestésico y cede tras completar la exéresis. El posoperatorio transcurre sin incidencias y la paciente es dada de alta al sexto día de la intervención.

La pieza se envía al servicio de anatomía patológica, que confirma la sospecha diagnóstica intraoperatoria de que la masa retroperitoneal corresponde a un paraganglioma paraaórtico (Fig. 2).

Figura 2. Anatomía patológica. A. Macroscópicamente: fragmento nodular, encapsulado, de 7 cm de diámetro, con parénquima homogéneo de coloración anaranjada y pequeños focos hemorrágicos. B. Microscópicamente: proliferación celular encapsulada constituida por población celular monomorfa, con citoplasma granular y dispuesta siguiendo un patrón organoide, positiva a la tinción inmunohistoquímica para marcadores neuroendocrinos (B1). Estroma adyacente con abundantes estructuras vasculares, así como células sustentaculares positivas a la tinción con S100 (B2). 

La paciente se deriva al servicio de endocrinología, donde se solicita una analítica con metanefrinas en plasma y catecolaminas en orina 24 horas negativas, así como una gammagrafía y una tomografía computarizada por emisión de fotón único (SPECT-CT) con metayodobencilguanidina (123I MIBG), que no identifican otras lesiones locorregionales ni metástasis a distancia. El estudio genético se desestimó por no tener hermanos ni hijos biológicos. A los seis meses la paciente se encontraba asintomática, con la tensión arterial controlada con los dos antihipertensivos que tenía prescritos previamente y con analítica sin alteraciones. Se estableció un seguimiento anual a largo plazo.

En lo que respecta al adenocarcinoma de endometrio, resecado en la misma intervención, la paciente requirió radioterapia adyuvante. En el control con marcadores tumorales y prueba de imagen a los 6 meses no se objetivaron signos de recidiva.

DISCUSIÓN

Los paragangliomas son tumores muy infrecuentes que se desarrollan en el tejido neuronal extraadrenal parasimpático o simpático. Ambos tipos difieren en la ubicación y en la capacidad de secreción hormonal. Mientras que los que se originan en el tejido parasimpático se localizan en la base del cráneo y en el cuello y tienen escasa capacidad secretora (5 %), los que se desarrollan en el tejido simpático se ubican en el tórax, en el abdomen o en la pelvis y mayoritariamente son productores de hormonas (86 %), como sucedió en el caso que presentamos (1).

Tienen una incidencia de 0,02-0,05 casos cada 100 000 habitantes/año, si bien a nivel paraaórtico se encuentra limitada a casos aislados reportados en la literatura (2). Suelen aparecer entre la tercera y la quinta década de la vida. La mayoría son esporádicos y afectan a mujeres (1). Sin embargo, alrededor del 30 % se asocian con síndromes hereditarios y generalmente las mutaciones implicadas se expresan en los genes que codifican el complejo enzimático de la succinato deshidrogenasa (3). Además, pueden formar parte de otros síndromes genéticos, como las neoplasias endocrinas múltiples de tipo 2A y 2B, el von Hippel Lindau o la neurofibromatosis de tipo 1.

El potencial maligno está determinado por el desarrollo de metástasis. Mientras que la mayoría de los paragangliomas son benignos, aquellos que se localizan a nivel retroperitoneal asocian una tasa de malignidad del 50 % (4).

Las formas de presentación son muy variables. Algunos son hallazgos incidentales y otros, como los localizados en el abdomen o en el mediastino, suelen desarrollar una clínica secundaria a la hipersecreción de catecolaminas consistente en hipertensión arterial, que en ocasiones se asocia a taquicardia, cefalea y sudoración en la denominada “triada clásica”. Esta puede aparecer de forma espontánea o inducida por el ejercicio, determinados fármacos (antagonistas beta-adrenérgicos, corticosteroides, etc.) o la manipulación quirúrgica, como sucedió en nuestro caso (1).

Uno de los pilares diagnósticos consiste en documentar la hipersecreción de catecolaminas mediante la medición de metanefrinas fraccionadas en plasma o en orina 24 horas. El diagnóstico se completa mediante TAC o resonancia magnética para determinar la localización y en ocasiones se emplean la gammagrafía o el SPECT con 123I MIBG para rastrear tumores sincrónicos, metástasis o recurrencias. Asimismo, se recomienda realizar un estudio genético para descartar mutaciones de la línea germinal (5). En nuestro caso hubo una dificultad diagnóstica preoperatoria, probablemente influenciada por la escasa frecuencia del paraganglioma aórtico dentro del diagnóstico diferencial de la masa retroperitoneal, por lo que se consideraron otras entidades más prevalentes, lo que influyó en el planteamiento terapéutico.

Si bien el diagnóstico definitivo es anatomopatológico, en aquellos paragangliomas que son secretores puede establecerse una sospecha diagnóstica ante la presencia de clínica adrenérgica, como sucedió en nuestra paciente. Hay que destacar que en el análisis microscópico es muy característico encontrar células sustentaculares con tinción inmunohistoquímica para S100, como se ha visto en la figura 2. Hay que resaltar también que la biopsia preoperatoria está contraindicada por el riesgo de desencadenar una hemorragia o una crisis adrenérgica en caso de tumores con secreción hormonal (6).

El tratamiento de elección es la resección quirúrgica, tal y como se realizó en el caso presentado, con una tasa de recurrencia inferior al 10 % y una supervivencia similar a la población general (7). Resulta primordial practicar un bloqueo adrenérgico preoperatorio para prevenir la aparición de complicaciones durante el procedimiento. A consecuencia de lo mencionado previamente, esta recomendación no pudimos llevarla a cabo en nuestra paciente. La embolización previa a la intervención no suele emplearse a nivel abdominal por el riesgo de desencadenar sintomatología (5). Otras opciones terapéuticas, como la radioterapia o la quimioterapia, se reservan para el manejo paliativo de tumores irresecables (8).

El intervalo entre el tratamiento de un paraganglioma y la aparición de una recurrencia o metástasis puede ser largo (9). Por ello, y como se ha establecido en nuestra paciente, está indicado realizar un seguimiento a largo plazo.

A modo de reflexión, hay que destacar que los paragangliomas paraaórticos constituyen un desafío clínico y quirúrgico. Por lo tanto, un diagnóstico certero es clave para planificar un tratamiento multidisciplinar que permita minimizar las potenciales complicaciones perioperatorias y resolver satisfactoriamente los casos.

BIBLIOGRAFÍA

1. Erickson D, Kudva YC, Ebersold MJ, et al. Benign paragangliomas: clinical presentation and treatment outcomes in 236 patients. J Clin Endocrinol Metab 2001;86(11):5210-6. DOI: 10.1210/jcem.86.11.8034 [ Links ]

2. Mateo-Gavira I, Baena-Nieto G, García-Doncel LG, et al. Actualización sobre el manejo diagnóstico y terapéutico del feocromocitoma y el paraganglioma. Medicine - Programa de Formación Médica Continuada Acreditado 2020;13(19):1083-93. DOI: 10.1016/j.med.2020.10.013 [ Links ]

3. Welander J, Söderkvist P, Gimm O. Genetics and clinical characteristics of hereditary pheochromocytomas and paragangliomas. Endocr Relat Cancer 2011;18(6):253-76. DOI: 10.1530/ERC-11-0170 [ Links ]

4. Sclafani LM, Woodruff JM, Brennan MF. Extraadrenal retroperitoneal paragangliomas: natural history and response to treatment. Surgery 1990;108(6):1124-9. [ Links ]

5. Lenders JWM, Duh QY, Eisenhofer G, et al. Pheochromocytoma and paraganglioma: an endocrine society clinical practice guideline. J Clin Endocrinol Metab 2014;99(6):1915-42. DOI: 10.1210/jc.2014-1498 [ Links ]

6. Vanderveen KA, Thompson SM, Callstrom MR, et al. Biopsy of pheochromocytomas and paragangliomas: potential for disaster. Surgery 2009;146(6):1158-66. DOI: 10.1016/j.surg.2009.09.013 [ Links ]

7. Amar L, Servais A, Giménez-Roqueplo AP, et al. Year of diagnosis, features at presentation, and risk of recurrence in patients with pheochromocytoma or secreting paraganglioma. J Clin Endocrinol Metab 2005;90(4):2110-6. DOI: 10.1210/jc.2004-1398 [ Links ]

8. Breen W, Bancos I, Young WF, et al. External beam radiation therapy for advanced/unresectable malignant paraganglioma and pheochromocytoma. Adv Radiat Oncol 2018;3(1):25-9. DOI: 10.1016/j.adro.2017.11.002 [ Links ]

9. Hamidi O, Young WF, Íñiguez-Ariza NM, et al. Malignant Pheochromocytoma and Paraganglioma: 272 Patients Over 55 Years. J Clin Endocrinol Metab 2017;102(9):3296-305. DOI: 10.1210/jc.2017-00992 [ Links ]

Peñalba Vicario Á, Bravo Ruiz E, Loureiro González C, Rosselló Soria J, Vega Manrique MR. Hallazgo casual de un paraganglioma paraaórtico. Angiología 2023;75(2):113-116

Recibido: 01 de Noviembre de 2022; Aprobado: 05 de Enero de 2023

Correspondencia: Álvaro Peñalba Vicario. Servicio de Angiología, Cirugía Vascular y Endovascular. Hospital Universitario de Basurto. Avda. Montevideo, 18. 48013 Bilbao e-mail: alvaro.pevicario29@gmail.com

Conflicto de interés: los autores declaran no tener conflicto de interés.

Creative Commons License This is an open-access article distributed under the terms of the Creative Commons Attribution License