INTRODUCCIÓN
Un pseudoaneurisma arterial es un hematoma localmente contenido como resultado de la rotura de la pared arterial. El tejido conjuntivo que rodea al hematoma crea una pared similar a una cápsula, que la rotura y evita que se produzca un sangrado activo.
La artroscopia de rodilla es un procedimiento seguro. En más de 300 000 artroscopias de rodilla, la incidencia de lesión de la arteria poplítea fue menor al 0,01 % (1).
CASO CLÍNICO
Mujer de 66 años con antecedentes de hipertensión arterial, obesidad, diabetes mellitus de tipo II y fibromialgia. Hacía 2 semanas se le había practicado una sinovectomía con desbridamiento y sutura meniscal por inestabilidad del menisco interno izquierdo, en tratamiento con enoxaparina profiláctica desde entonces.
Acude a urgencias por edema, dolor y dificultad para la deambulación en la extremidad intervenida. Había acudido a urgencias 7 días antes por la misma clínica y fue diagnosticada de un quiste de Baker mediante ecografía. Vuelve a consultar por ausencia de mejoría.
En la exploración, presentaba edema y hematoma desde la mitad del muslo hasta la raíz de los dedos y una masa pulsátil dolorosa en el hueco poplíteo; presentaba pulsos a todos los niveles con buena perfusión distal y conservaba la motilidad y sensibilidad.
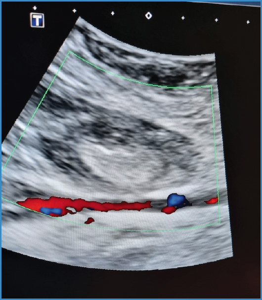
Se solicitó una ecografía-Doppler, en la que se observó una dilatación sacular adyacente a la arteria poplítea, de unos 50 × 30 mm, con flujo en su interior con el signo de ying-yang, que sugería un pseudoaneurisma. Se realiza una angiografía por tomografía computarizada (ATC) que confirma el pseudoaneurisma poplíteo de 40 mm de diámetro máximo y se localiza la rotura arterial a nivel de la segunda porción de la arteria poplítea (Fig. 1).

Figura 1. Angiografía por tomografía computarizada donde se aprecia voluminoso pseudoaneurisma poplíteo con un cuello pequeño y estrecho localizado en la 2.a porción de la arteria poplítea.
Debido a su obesidad, el extenso hematoma a nivel de la fosa poplítea, la localización del pseudoaneurisma y, además, la presencia de un cuello corto y estrecho, se decide realizar una punción ecoguiada de trombina.
Bajo anestesia local y en posición en prono, se realiza la punción con una aguja de Seldinger. Cuando la punta de la aguja se visualizaba a nivel del saco del pseudoaneurisma y al obtener reflujo pulsátil, se inyectaron 4 cm3 de trombina (Floseal®, Baxter) lentamente. Simultáneamente, comprimimos el cuello del pseudoaneurisma de forma ecoguiada para minimizar el riesgo de embolización de la trombina y controlamos la permeabilidad de la arteria con la función Doppler-color.
Una vez comprobada la trombosis del pseudoaneurisma (Fig. 2), se dejó a la paciente en reposo absoluto y con compresión local.

Figura 2. Ecografía en la que se aprecia pseudoaneurisma poplíteo trombosado y permeabilidad de la arteria poplítea.
El ultrasonido Doppler de control realizado a las 24 horas confirmó la trombosis del pseudoaneurisma con una disminución de 10 mm en su tamaño. La paciente fue dada de alta con disminución del dolor a nivel de la fosa poplítea y una adecuada perfusión distal, sin complicaciones en la zona de punción.
DISCUSIÓN
Las lesiones vasculares en la cirugía ortopédica se deben a un traumatismo directo de la arteria durante la intervención o a la tracción o fractura de la placa de ateroma durante la isquemia (2).
El pseudoaneurisma poplíteo debe sospecharse ante una masa pulsátil y dolorosa en la fosa poplítea. Los síntomas y signos más típicos (3) son dolor, edematización, equimosis, alteraciones sensitivas o motoras y disminución o ausencia de pulsos periféricos, pudiendo llegar a presentar incapacidad de la marcha debido a un déficit neurológico (2).
Su expansión progresiva puede conllevar complicaciones (3) como la necrosis cutánea, embolismo distal, isquemia aguda o su rotura, que podría provocar la amputación del miembro afectado.
Ante la sospecha inicial, debe realizarse una ecografía-Doppler o una ATC para su confirmación.
Los pacientes con pseudoaneurismas pequeños (< 2 cm) pueden ser sometidos a un manejo expectante por la posibilidad de trombosis espontánea (4).
La compresión ecoguiada surgió como un tratamiento no invasivo hace décadas. Consiste en aumentar la presión directa sobre el cuello del pseudoaneurisma bajo vigilancia con ultrasonido hasta que cesa el flujo dentro del saco, favoreciendo su trombosis. En 2016, una revisión sistemática estipuló la tasa de éxito de esta técnica en un 69 % (5), que es variable en función del tamaño del pseudoaneurisma. Esta técnica puede ser muy molesta para el paciente e incluso conllevar la rotura del pseudoaneurisma.
Por ello, paulatinamente se ha sustituido por la punción ecoguiada de trombina, que ha demostrado tasas de trombosis del saco del 91-100 % en localizaciones como la arteria femoral o humeral (3,6). Las complicaciones rondan el 1,3 %; los eventos embólicos constituyen solamente un 0,5 % (7).
La cirugía abierta facilita la evacuación del hematoma y la reparación directa de la arteria lesionada (sutura directa, plastia con parche o interposición de un injerto venoso). Si bien es verdad que ha mostrado un mayor éxito técnico (8), lo hace a expensas de aumentar el número de complicaciones (dehiscencia de herida quirúrgica, infección o lesión nerviosa) (8) y del riesgo de reintervención (9), aumento de la estancia hospitalaria y del tiempo del procedimiento (9). Por ello, actualmente se recomienda esta técnica solo en caso del fallo de la punción ecoguiada o en presencia complicaciones agudas como síndrome compartimental, isquemia aguda o inestabilidad hemodinámica (8,9).
Por último, la exclusión endovascular se considera una opción de tratamiento adecuada, pero sus riesgos dependen de la localización del pseudoaneurisma. Aunque la permeabilidad del stent poplíteo parece ser aceptable incluso sometido a la flexión repetida y extrema de la rodilla, los resultados a largo plazo son escasos (10). Por ello, debería reservarse para pacientes mayores con comorbilidades de alto riesgo y esperanza de vida limitada (10).
Este es el segundo caso reportado de punción ecoguidada con trombina de un pseudoaneurisma poplíteo. Mostramos que esta técnica es rápida, segura y efectiva para el cierre de este tipo de pseudoaneurismas, evitando el daño neurológico y la infección de la herida quirúrgica que favorecería la cirugía abierta y la trombosis del stent en el tratamiento endovascular. En nuestro caso, evitamos la cirugía abierta debido al alto riesgo de complicaciones asociadas con la obesidad y el gran volumen del hematoma en esta paciente. La opción endovascular se descartó debido a que estaba implicada la segunda porción de la arteria poplítea en una mujer activa.










texto en 


