SciELO - Scientific Electronic Library Online

 
vol.77 número1Tratamiento quirúrgico combinado de pseudoaneurisma carotídeo posendarterectomíaCarotid web: a propósito de un caso índice de autoresíndice de materiabúsqueda de artículos
Home Pagelista alfabética de revistas  

Servicios Personalizados

Revista

Articulo

Indicadores

Links relacionados

  • En proceso de indezaciónCitado por Google
  • No hay articulos similaresSimilares en SciELO
  • En proceso de indezaciónSimilares en Google

Compartir


Angiología

versión On-line ISSN 1695-2987versión impresa ISSN 0003-3170

Angiología vol.77 no.1 Madrid ene./feb. 2025  Epub 04-Abr-2025

https://dx.doi.org/10.20960/angiologia.00687 

Nota Técnica

Paciente con aneurisma de aorta yuxtarrenal e ilíaco bilateral. Tratamiento endovascular complejo

Rubén Castilla-Salar1  , Ignacio Michel-Guisasola1  , José Antonio González-Fajardo1 

1Servicio de Angiología, Cirugía Vascular y Endovascular. Hospital Universitario 12 de Octubre. Madrid

INTRODUCCIÓN

En los últimos años, la reparación aórtica endovascular en chimenea (Ch-EVAR) se ha convertido en una solución alternativa para el tratamiento endovascular de aneurismas yuxtarrenales y pararrenales complejos. Muchos estudios indican que la Ch-EVAR es una opción segura y válida para el tratamiento de los AAA con cuello aórtico corto. La inclusión de esta técnica en las guías de 2019 de la Sociedad Europea de Cirugía Vascular (ESVS) es un claro ejemplo del creciente papel que tiene en el tratamiento de patologías aórticas complejas (1,2).

Por otro lado, los aneurismas de la arteria ilíaca común están presentes en más de un tercio de los pacientes con AAA. Aunque la embolización de la arteria ilíaca interna o hipogástrica es un método establecido, puede suponer complicaciones como claudicación glútea, disfunción eréctil, isquemia de colon y necrosis pélvica. Debido a ello, siempre se recomienda mantener permeable al menos una de las arterias hipogástricas. Para evitar dichas complicaciones y conservar la arteria ilíaca interna permeable se ha desarrollado la técnica del branch ilíaco (3).

DESCRIPCIÓN

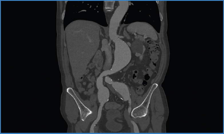
Se presenta el caso de un varón de 83 años, con muchas comorbilidades, en seguimiento en consultas por aneurisma de aorta yuxtarrenal e ilíaco bilateral. Asintomático desde el punto de vista vascular. En la última revisión con angio TC (Fig. 1) se objetivan los siguientes hallazgos:

Figura 1. Angio TC con anatomía del caso: AAA yuxtarrenal y de ambas arterias ilíacas comunes. 

  • - Aneurisma de aorta infrarrenal que comienza a unos 8 mm de la salida de arteria renal izquierda y se extiende hasta la bifurcación. Presenta unos diámetros máximos de 59 × 55 mm.

  • - Aneurisma fusiforme de ilíaca común derecha de unos 38 mm.

  • - Aneurisma fusiforme de ilíaca común izquierda de unos 47 mm.

Dados estos hallazgos, se decide la realización de tratamiento endovascular complejo tras llevar a cabo la planificación quirúrgica correspondiente: embolización de arteria hipogástrica izquierda + branch ilíaco derecho + Ch-EVAR.

PROCEDIMIENTO TÉCNICO (Fig. 2)

Figura 2. Procedimiento técnico. A. Embolización hipogástrica izquierda. B. Despliegue de branch ilíaco derecho. C-D. Despliegue de stents renales y de endoprótesis aortobiilíaca. E. Colocación de pata puente derecha. F. Colocación de pata izquierda. G-H. Resultado angiográfico final. 

Se comienza el procedimiento con punción ecoguiada retrógrada de ambas arterias femorales comunes y colocación de introductores de 5 Fr. Se dejan colocados cierres percutáneos de tipo Proglide® en ambas regiones inguinales (dos en cada una). Heparinización sistémica con 7500 unidades. Por la ingle izquierda se canaliza la arteria hipogástrica izquierda mediante catéter Simmons® y se realiza su embolización con coils Azur35® de 13 mm con buen resultado angiográfico. Por la ingle derecha se progresa una guía Advantage® de 0,035 y se coloca un introductor de 18 Fr. Se procede a la disección de la arteria humeral izquierda proximal. Se coloca un introductor de 10 Fr de 80 cm y se canaliza con catéter RIM® y guía Advantage® de 0,035 hasta AAA. Se realiza técnica through and through. Por la ingle derecha se coloca branch ilíaco GORE® de 23 × 12 mm. A través del through and through se coloca un introductor de 10 Fr en el branch y se canaliza la arteria hipogástrica derecha. Se coloca un stent VBX-GORE® de 8 × 79 mm, posdilatando la zona proximal con un balón de angioplastia Armada35® de 14 × 40 mm, con buen resultado morfológico. A través de la arteria humeral izquierda más distal se coloca un introductor de 8 Fr de 70 cm y se canaliza con catéter RIM® y guía Advantage® de 0,035 hasta el AAA. A través de los introductores del brazo se canalizan ambas arterias renales y se posicionan, sin desplegar, en renal derecha un stent VBX-GORE® de 8 × 59 mm y en renal izquierda, otro stent VBX-GORE® de 7 × 59 mm. A través de la ingle derecha se coloca el cuerpo de la prótesis GORE EXCLUDER® de 32 × 14 mm, enrasando en arteria mesentérica superior (AMS). Se realiza técnica kissing balloon de ambos stents renales y del cuerpo protésico. Permeabilidad de renales y AMS. Se finaliza el eje derecho con una pata puente de GORE® de 16 × 24 mm. A través del brazo se canaliza la pata contralateral y se realiza through and through con un lazo. Se colocan dos patas (16 × 14,5 mm proximal y 16 × 12 mm distal), enrasando en la arteria ilíaca externa izquierda. Muy buen resultado angiográfico sin demostrar endofugas. Cierre percutáneo de ambos accesos femorales con Proglides®. Cierre de arteria humeral izquierda con puntos de Prolene® de 6/0. Cierre por planos y de la piel con grapas.

El paciente es dado de alta al segundo día posoperatorio completamente asintomático, con presencia de pulso radial izquierdo y, a nivel de miembros inferiores, pulso pedio derecho y tibial posterior izquierdo. Durante el seguimiento el paciente permanece asintomático y se observan todos los stents permeables en los angio TC de control correspondientes.

Branch ilíaco + ChEVAR. 

BIBLIOGRAFÍA

1. Fazzini S, Turriziani V, Pennetta FF, et al. Endovascular management of juxtarenal and pararenal abdominal aortic aneurysms: Role of chimney technique. Vasc Endovasc Rev 2023;6(1):1-5. DOI: 10.15420/ver.2022.03 [ Links ]

2. Wanhainen A, Verzini F, Van Herzeele I, et al. Editor's choice - European Society for Vascular Surgery (ESVS) 2019 clinical practice guidelines on the management of abdominal aortoiliac artery aneurysms. Eur J Vasc Endovasc Surg 2019;57:8-93. DOI: 10.1016/j.ejvs.2018.09.020 [ Links ]

3. Giosdekos A, Antonopoulos CN, Sfyroeras GS, et al. The use of iliac branch devices for preservation of flow in internal iliac artery during endovascular aortic aneurysm repair. J Vasc Surg 2020;71(6):2133-44. DOI: 10.1016/j.jvs.2019.10.087 [ Links ]

Inteligencia artificial:los autores declaran no haber usado inteligencia artificial (IA) ni ninguna herramienta que use IA para la redacción del artículo.

Castilla Salar R, Guisasola IM, González Fajardo JA. Paciente con aneurisma de aorta yuxtarrenal e ilíaco bilateral. Tratamiento endovascular complejo. Angiologia 2025;77(1):63-65

Recibido: 27 de Agosto de 2024; Aprobado: 27 de Agosto de 2024

Correspondencia: Rubén Castilla Salar. Servicio de Angiología, Cirugía Vascular y Endovascular. Hospital Universitario 12 de Octubre. Avenida de Córdoba, s/n. 28041 Madrid e-mail: r.castilla.salar@gmail.com

Conflictos de interés: los autores declaran no tener conflictos de interés.

Creative Commons License This is an open-access article distributed under the terms of the Creative Commons Attribution License