CASO CLÍNICO
Mujer de 37 años sin antecedentes médico-quirúrgicos reseñables. Acude a urgencias por hemiplejia izquierda de 3 horas de evolución. Se diagnostica mediante tomografía computarizada (TC) cerebral de infarto de arteria cerebral media derecha, por lo que se realiza trombectomía mecánica urgente. Durante el procedimiento, se observa en la arteriografía septo no oclusivo en el segmento bulbar de la arteria carótida derecha, sugestivo de carotid web (Fig. 1). Descartado el origen cardíaco y como presentaba ritmo sinusal y ecocardiograma sin alteraciones, se solicita angiografía por TC, que confirmó dicho diagnóstico. Se decide endarterectomía de carótida interna derecha (Fig. 2) y cierre con parche de vena safena interna autóloga. Fue dada de alta después de 72 horas sin complicaciones. Posteriormente se observa permeabilidad a los 6 meses y ausencia de reestenosis.

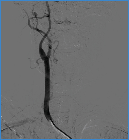
Figura 1. Imagen de arteriografía tras el procedimiento de trombectomía urgente en la que se observa septo en carótida interna derecha sugestivo de carotid web.
DISCUSIÓN
El carotid web es una protuberancia intimal de prevalencia incierta con predominio en las mujeres que se localiza frecuentemente en la cara posterolateral proximal de la carótida interna y asocia accidentes isquémicos transitorios e ictus embólicos en pacientes jóvenes sin factores de riesgo cardiovasculares clásicos (1). Esto se produce por la afectación hemodinámica del flujo distal al septo (2). El diagnóstico se realiza mediante angiografía por TC o por resonancia magnética (3). Se ha demostrado que el tratamiento quirúrgico, mediante stent o endarterectomía, disminuye el riesgo de presentar episodios isquémicos recurrentes, que se presentan en un 26,8 % de las ocasiones en pacientes sintomáticos tratados exclusivamente con tratamiento farmacológico antiagregante, anticoagulante o con una combinación de ambos (4). A pesar de la falta de estudios al respecto, esta patología ha ido incrementando su relevancia y este hecho influye en la reciente incorporación de su manejo en la última actualización de las guías europeas, quienes proponen tratamiento quirúrgico mediante stent o endarterectomía de los pacientes sintomáticos sin otra causa que justifique la clínica neurológica tras un estudio exhaustivo (nivel de evidencia IIB, grado de recomendación C) (5). En nuestro caso, se decidió el uso de vena autóloga para el parche carotídeo dada la edad de la paciente y la menor tasa de complicaciones infecciosas a largo plazo (6).










texto en 



