Mi SciELO
Servicios Personalizados
Revista
Articulo
Indicadores
-
Citado por SciELO -
Accesos
Links relacionados
-
Citado por Google -
Similares en
SciELO -
Similares en Google
Compartir
Angiología
versión On-line ISSN 1695-2987versión impresa ISSN 0003-3170
Angiología vol.77 no.1 Madrid ene./feb. 2025 Epub 04-Abr-2025
https://dx.doi.org/10.20960/angiologia.00628
Clinical Images of the Month
Carotid web: a case report
Department of Angiology, Vascular and Endovascular Surgery. Hospital Universitario Miguel Servet. Zaragoza, Spain
CASE REPORT
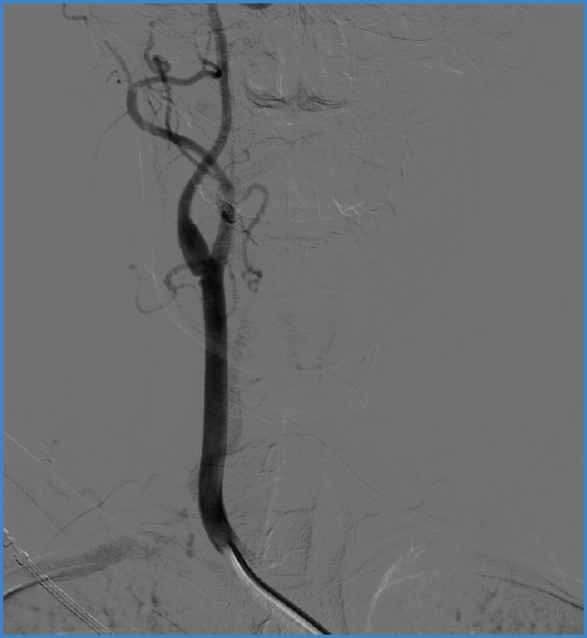
A 37-year-old woman with no significant medical-surgical history presented to the emergency department with a 3-hour history left hemiplegia. A brain CT scan revealed the presence of a right middle cerebral artery infarction, leading to emergency mechanical thrombectomy. During the procedure, an arteriography revealed the presence of a non-occlusive septum in the bulb segment of the right carotid artery, suggestive of a carotid web (Fig. 1). Cardiac origin was ruled out as she had sinus rhythm and an echocardiogram without abnormalities. A CT angiography was requested, confirming the diagnosis. A decision was made to perform right internal carotid endarterectomy (Fig. 2) with closure using an autologous saphenous vein patch. She was discharged after 72 hours uneventfully. At the 6-month follow-up, patency was observed, and there was no re-stenosis.

Figure 1. Arteriography image following an emergency thrombectomy procedure showing a septum in the right internal carotid artery suggestive of carotid web.
DISCUSSION
Carotid web is an intimal protrusion of uncertain prevalence, predominantly seen in women, which is commonly located on the proximal posterolateral face of the internal carotid artery. It is associated with transient ischemic attacks and embolic strokes in young patients without classical cardiovascular risk factors (1). This occurs due to hemodynamic impairment of flow distal to the septum (2). Diagnosis is established through CT angiography or magnetic resonance imaging (3). Surgical treatment, through stenting or endarterectomy, has been shown to reduce the risk of recurrent ischemic episodes, which occur in 26.8 % of symptomatic patients treated exclusively with pharmacological antiplatelet, anticoagulant therapy, or a combination of both (4). Despite the lack of studies on the subject, the relevance of this disease has been increasing, influencing its recent inclusion in the latest European clinical practice guidelines, which recommend surgical treatment with stenting or endarterectomy for symptomatic patients with no other cause to explain their neurological symptoms after a thorough evaluation (level of evidence IIB, grade of recommendation C) (5). In our case, the use of an autologous vein patch for the carotid closure was chosen due to the patient’s age and the lower rate of long-term infectious complications (6).
REFERENCES
1. Hu H, Zhang X, Zhao J, Li Y, Zhao Y. Transient ischemic attack and carotid web. Am J Neuroradiol 2019;40(2):313-8. DOI: 10.3174/ajnr.A5946 [ Links ]
2. Ren S, Liu Q, Chen Z, Deng X, Sun A, Luan J. Hemodynamic evaluation of endarterectomy and stenting treatments for carotid web. Front Cardiovasc Med 2022;9:993037. DOI: 10.3389/fcvm.2022.993037 [ Links ]
3. Mac Grory B, Emmer BJ, Roosendaal SD, Zagzag D, Yaghi S, Nossek E. Carotid web: an occult mechanism of embolic stroke. J Neurol Neurosurg Psychiatry. 2020;91(12):1283-9. DOI: 10.1136/jnnp-2020-323938 [ Links ]
4. Patel SD, Otite FO, Topiwala K, Saber H, Kaneko N, Sussman E, et al. Interventional compared with medical management of symptomatic carotid web: A systematic review. J Stroke Cerebrovasc Dis 2022;31(10):106682. DOI: 10.1016/j.jstrokecerebrovasdis.2022.106682 [ Links ]
5. Naylor R, Rantner B, Ancetti S, de Borst GJ, de Carlo M, Halliday A, et al. Editor's Choice - European Society for Vascular Surgery (ESVS) 2023 Clinical Practice Guidelines on the Management of Atherosclerotic Carotid and Vertebral Artery Disease. Eur J Vasc Endovasc Surg 2023;65(1):7-111. DOI: 10.1016/j.ejvs.2022.04.011 [ Links ]
6. Wikkeling TM, van Gijssel SA, van der Laan MJ, Zeebregts CJ, Saleem BR. Treatment of patch infection after carotid endarterectomy: a systematic review. Ann Transl Med 2021;9(14):1213. DOI: 10.21037/atm-20-7531 [ Links ]
Received: February 03, 2024; Accepted: February 20, 2024










texto en 



