SciELO - Scientific Electronic Library Online

 
vol.34 número1Lupus eritematoso y adaptación de un trabajador especialmente sensible: a propósito de un casoEnsayo supervisado de reconversión profesional, una posibilidad real en Francia. A propósito de un caso. índice de autoresíndice de assuntospesquisa de artigos
Home Pagelista alfabética de periódicos  

Serviços Personalizados

Journal

Artigo

Indicadores

Links relacionados

  • Em processo de indexaçãoCitado por Google
  • Não possue artigos similaresSimilares em SciELO
  • Em processo de indexaçãoSimilares em Google

Compartilhar


Revista de la Asociación Española de Especialistas en Medicina del Trabajo

versão On-line ISSN 3020-1160versão impressa ISSN 1132-6255

Rev Asoc Esp Espec Med Trab vol.34 no.1 Madrid Mar. 2025  Epub 12-Maio-2025

 

CASOS CLÍNICOS

Lipoma vs discopatía lumbar. Caso clínico. ¿Podría un lipoma ser incapacitante para el trabajo?

Lipoma vs. Lumbar disc disease. Clinical case. Could a lipoma be disabling for work?

José Nobrega de Franca (orcid: 0000-0002-2831-5608)1  , Anny Jerez2  , Asan Mollov3  , Laura Otano4  , Susana Álvarez5  , Belén Asenjo6 

1Unidad Docente Medicina del Trabajo de Navarra, Pamplona, Navarra, España.

2Unidad Docente Medicina del Trabajo de Navarra, Pamplona, Navarra, España.

3 Servicio de Prevención de Riesgos Laborales, Servicio Navarro de Salud-Osasunbidea, Pamplona, Navarra, España.

4 Servicio de Prevención de Riesgos Laborales, Servicio Navarro de Salud-Osasunbidea, Pamplona, Navarra, España.

5 Servicio de Prevención de Riesgos Laborales, Servicio Navarro de Salud-Osasunbidea, Pamplona, Navarra, España.

6 Servicio de Prevención de Riesgos Laborales, Servicio Navarro de Salud-Osasunbidea, Pamplona, Navarra, España.

RESUMEN.

Introducción:

La sintomatología de dolor lumbar que irradia a piernas suele conllevar al diagnóstico de patología discal y neuropatía del ciático, siendo esta una de las principales causas de incapacidad laboral. Sin embargo, ante una clínica persistente que incapacita para el trabajo y la vida cotidiana se debe pensar en otras etiologías.

Descripción del caso clínico:

Se comunica el caso clínico de una trabajadora de limpieza de 52 años con lumbociática incapacitante asociada a un lipoma gigante en el agujero ciático. La compresión nerviosa extrínseca por tumores es poco frecuente y pueden causar una morbilidad significativa debido a la compresión del nervio ciático.

Discusión:

El retraso del diagnóstico de una enfermedad en persona en edad laboral podría tener consecuencias graves, incluida la pérdida del empleo, si la enfermedad afecta la capacidad funcional necesaria para el desempeño laboral. Es primordial que se tomen medidas para abordar estas situaciones de manera oportuna.

Palabras Clave: Lipoma Atípico; Nervio Ciático; Medicina del Trabajo

ABSTRACT

Introduction:

Symptoms of low back pain radiating to the legs often lead to a diagnosis of disc pathology and sciatic neuropathy, which is one of the main causes of work disability. However, when the patient has persistent symptoms that incapacitate him or her for work and daily life, other etiologies should be considered.

Clinical case description:

We report the clinical case of a 52-year-old cleaning worker with disabling lumbosciatica associated with a giant lipoma in the sciatic foramen. Extrinsic nerve compression by tumors is rare and can cause significant morbidity due to compression of the sciatic nerve.

Discussion:

Delaying the diagnosis of a disease in a person of working age could have serious consequences, including loss of employment, if the disease affects the functional capacity necessary for work performance. It is essential that measures be taken to address these situations in a timely manner.

Keywords: Atypical Lipoma; Sciatic Nerve; Occupational Medicine

Introducción

Los lipomas son formaciones benignas de células de estirpe grasa, formando masas blandas e indoloras con mayor frecuencia en el tronco y a nivel dérmico, pero pueden desarrollarse en cualquier parte del cuerpo. Generalmente varían de 1 a >10 cm. Si miden más de 10 centímetros se denominan “lipomas gigantes”. Aunque los lipomas están presentes en los planos subcutáneos, en algunos casos pueden afectar la fascia o los planos musculares más profundos1. A medida que aumentan de tamaño, pueden comprimir los nervios adyacentes y las estructuras locales. En ocasiones para el tratamiento, es importante la planificación quirúrgica adecuada, mediante pruebas de imagen como resonancia magnética nuclear (RNM), puesto que las estructuras nerviosas pueden estar incluidas dentro del lipoma1.

Los subtipos histológicos de lipomas incluyen: angiolipomas, mielolipomas, fibrolipomas, osificantes, hibernomas, de células fusiformes y pleomórficos, lipomas condroides y fibrolipomas neurales. Estas variantes deben distinguirse de los liposarcomas, que son neoplasias malignas1.

La presentación inusual de enfermedad común como un lipoma pretende servir como herramienta educativa, aportando conocimiento adicional a la comunidad médica. Ayuda a identificar nuevos síntomas, signos, o incluso factores de riesgo, contribuyendo a la comprensión de la fisiopatología de la enfermedad. En la misma línea se remarca la importancia de documentar la experiencia clínica y enfatizar en la importancia de la individualización del paciente.

Presentación del Caso Clínico

Se trata de una trabajadora con 52 años de edad, sin antecedentes de interés, salvo colocación de dispositivo intrauterino (DIU) en 2018.

Inició en 2018 episodios recurrentes de dolor sordo localizado en región perineal con sensación de adormecimiento y en ocasiones asociaba quemazón, que empeoraban con la bipedestación prolongada. Un año después del inicio de los síntomas, fue valorada en consulta de Neurología, con exploración física anodina (no hipoestesias, sin déficit motor, ni alteración de esfínteres), y fue derivada a consulta de Ginecología por sospecha de neuropatía de nervio pudendo o clínica relacionada con la colocación del DIU. La valoración por Ginecología no objetivó hallazgos relevantes, pero dado que la paciente refería persistencia de los síntomas, se le solicitó radiografía de columna lumbar, describiendo discreto pinzamiento del espacio discal L5-S1 en probable relación con patología degenerativa. Al inicio de los síntomas la trabajadora ocupaba un puesto de conserje en un instituto de educación secundaria hasta 2020. El cuadro clínico no le limitaba para el desempeño de las funciones propias de su puesto. El dolor se intensificaba con la bipedestación prolongada y con el manejo manual de cargas, desapareciendo en reposo.

A lo largo del 2020 acudió en varias ocasiones a consulta de Ginecología por persistencia de la clínica, por lo que se indicó la realización de resonancia magnética (RM) de columna lumbar.

El impacto de la pandemia de COVID-19 condicionó el proceso diagnóstico de la trabajadora. En 2020 cambió de puesto de trabajo y pasó a desempeñar funciones propias de administrativa durante aproximadamente 6 meses, con buena adaptación al mismo ya que estando sentada no presentaba síntomas. En 2021 asumió contrato de Celadora en un centro hospitalario y a los tres meses de desempeño decidió abandonarlo al encontrarse limitada por el dolor y no poder desempeñar las funciones propias del puesto. Debido al retraso en llegar al diagnóstico, pasó en situación de desempleo durante 10 meses, estando limitada para asumir trabajos con bipedestación y manejo manual de cargas.

En julio de 2022 se realizó la RM que reportó abombamiento discal posterior L5-S1, ya conocido (Figura 1). En una nueva consulta de Ginecología se decidió la retirada del DIU, indiciando ejercicios de suelo pélvico. Dada la persistencia de las sintomatologías sin mejoría tras los ejercicios indicados se solicitó nueva RM pelviana.

Figura 1. RM lumbar con discreto abombamiento L5-S1. 

En RM pelviana de octubre del 2022 se apreció imagen ocupacional de aproximadamente 9,5 x 10 cm en hemipelvis derecha con alta intensidad de señal en secuencias potenciadas en T1 y T2 sugiriendo tumoración de estirpe grasa con efecto masa sobre estructuras intraabdominales, desplazando el recto, cuello uterino y vagina hacia el lado izquierdo (Figura 2 y Figura 3). En su porción lateral se introducía ampliamente por escotadura ciática derecha. Se procedió a la realización de punción aspiración con aguja fina, con abordaje posterior, bajo control de tomografía axial computarizada (PAAF-TAC) (Figura 4) de masa intrapélvica, obteniendo muestra para estudio histológico. El informe anatomopatológico confirmó tejido de aspecto adiposo maduro, compatible con lipoma por lo que se derivó a consulta de Cirugía.

Figura 2. Serie axial de RM pelvis en T2. Imagen de masa en pelvis derecha que se introduce en agujero ciático derecho. 

Figura 3. Serie sagital de RM pelvis en T2. Imagen de masa intraabdominal que penetra agujero ciático. 

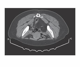
Figura 4. Imagen de TAC abdominal para guiar punción PAAF, previa intervención. 

Valorada en consulta de Cirugía Colorrectal y Proctología, la trabajadora presentaba parestesias a nivel de vulva, ingle derecha y parte interior del muslo dcho. Seguía experimentando dolor a la bipedestación que se irradiaba desde la zona lumbar hasta la extremidad inferior derecha, limitando la realización de las actividades de la vida cotidiana. Durante la exploración física se observó induración a nivel de la zona isquiática derecha que podría corresponder al lipoma. En el tacto rectal se palpó masa de consistencia elástica en la pelvis inferior derecha. Se solicitó interconsulta con Traumatología para valorar intervención quirúrgica de forma conjunta. En mayo de 2023 la paciente fue intervenida mediante técnica abierta periumbilical, extirpando fragmento de tejido adiposo de 11,5 x 10,3 cm.

En la actualidad ocupa un puesto de limpieza hospitalaria presentando hipoestesias parcheadas residuales sin repercusión funcional.

Discusión

Ante una clínica de dolor lumbar que se irradia a miembros inferiores y se acompaña de alteraciones sensitivas en profesionales con manejo manual de cargas y posturas forzadas se suele pensar en discopatías vertebrales y neuropatías del nervio ciático. Este diagnóstico es fundamentalmente clínico y se puede apoyar con radiología, salvo en casos con déficit motor o sensitivo donde está indicado la RM. Sin embargo, existen otras causas de compresiones nerviosas menos frecuentes.

El caso presente se inició con cuadro clínico atípico de dolor en región perineal y evolucionó a dolor lumbar con ciatalgia. Tras múltiples consultas entre los servicios de Neurología y Ginecología, dada la persistencia del dolor, se retiró el DIU implantado y en RM pelviana se evidenció masa intraabdominal que requirió una biopsia para confirmar el diagnóstico de lipoma gigante.

Los lipomas generalmente se localizan en el plano subcutáneo y son asintomáticos. Raramente se localizan en planos profundos, intramuscular, intermuscular, perióstico o intraóseo, pudiendo producir compresión de los nervios adyacentes. La compresión nerviosa por lipomas es poco habitual2.

Por lo general, inicialmente tienen una fase de crecimiento insidioso, seguida de una fase de estancamiento. Los de tamaño pequeños, generalmente son asintomáticos, pero a medida que crezcan, causan desperfectos estéticos, compresión o atrapamiento de nervios o limitación funcional. Los lipomas >10cm se denominan lipomas gigantes y deben tratarse con sospecha debido al riesgo de liposarcomas3.

La ecografía es útil en el diagnóstico en la mayoría de los casos, pero la RM no sólo tiene una utilidad diagnóstica mayor, sino que ayuda a delimitar mejor la lesión en relación con las estructuras circundantes2. La RM tiene un valor predictivo positivo del 96% para lograr el diagnóstico correcto en comparación con los hallazgos histopatológicos4.

El retraso del diagnóstico de una enfermedad en persona en edad laboral podría tener consecuencias graves, incluida la pérdida del empleo, si la enfermedad afecta la capacidad funcional necesaria para el desempeño laboral. Es primordial que se tomen medidas para abordar estas situaciones de manera justa y equitativa y por supuesto, es necesario que la persona reciba la atención médica para diagnosticar su enfermedad de manera oportuna.

Sucesos adversos sin precedentes, como fue el inicio de la pandemia por COVID-19, desvió los recursos sanitarios en atención de los pacientes afectados por la pandemia y retrasó el diagnostico de numerosa patología incluidas las neoplasias. Hubo un descenso en el diagnóstico de casos nuevos de cáncer de pulmón durante los primeros meses de la pandemia, así como un incremento significativo en el tiempo hasta el primer tratamiento5. Otro estudio relacionó el confinamiento y el miedo por contagio en el ámbito hospitalario con el retraso diagnóstico de urgencias quirúrgicas complejas6.

Un estudio publicado en Lancet, midió el impacto de la pandemia en el retraso del diagnóstico en pacientes con cáncer de colon, mama, pulmón y esófago, poniendo de manifiesto que la demora diagnóstica por aplazamientos en las pruebas puede suponer una disminución en la supervivencia al año, de entre un 1% hasta un 6% respecto a años previos7.

Ante un cuadro de lumbalgia debemos orientar el diagnóstico atendiendo a la gravedad, irradiación y existencia de clínica neurológica. Se debe tener en cuenta las distintas patologías que pueden cursar con esta sintomatología y realizar las pruebas complementarias de forma oportuna. Las etiologías más frecuentes son las radiculopatias por hernia discal, artrosis o la estenosis de canal. El dolor lumbar tiene profundos efectos sobre el bienestar y a menudo es la principal causa de discapacidad física que afecta al desempeño laboral, a las responsabilidades sociales y la vida familiar, incrementando costes por atención médica y pérdida de jornadas laborales. Es la principal causa de discapacidad en la mayoría de los países desarrollados y la cronicidad del dolor genera costes sociosanitarios y laborales debido a la necesidad de uso de recursos sanitarios y apoyo por limitaciones y repercusión en la calidad de vida8,9.

La presentación de este caso pone de manifiesto que una clínica sugerente de compresión nerviosa y la presencia de una tumoración de crecimiento lento, debemos sospechar entre otras posibilidades, el diagnóstico de lipoma.

Bibliografía

1. Kolb L, Yarrarapu SNS, Ameer MA, et al. Lipoma. Updated 2023 Aug 8. In: StatPearls Internet. Treasure Island (FL): StatPearls Publishing ; 2024 Jan-. Available from: https://www.ncbi.nlm.nih.gov/books/NBK507906/Links ]

2. Boushnak MO, Moussa MK, Alayane AH, Gkotsi A, El Kazzi W. Intraneural Lipoma: A Rare Cause of Median Nerve Compression. Cureus. 2023 Jun 7;15(6):e40074. doi: 10.7759/cureus.40074. PMID: 37425501; PMCID: PMC10326648. [ Links ]

3. Gomez D, Samarathunga D, Dissanayake D, Ekanayake G. A giant multi-compartment lipoma of the hand causing median nerve compression: A case report and review of literature. Int J Surg Case Rep. 2024 Apr;117:109527. doi: 10.1016/j.ijscr.2024.109527. Epub 2024 Mar 15. PMID: 38503162; PMCID: PMC10963216. [ Links ]

4. Capelastegui A, Astigarraga E, Fernandez-Canton G, Saralegui I, Larena JA, Merino A. Masses and pseudomasses of the hand and wrist: MR findings in 134 cases. Skeletal Radiol. 1999 Sep;28(9):498-507. doi: 10.1007/s002560050553. PMID: 10525793. [ Links ]

5. Serra Mitjà P, Àvila M, García-Olivé I. Impact of the COVID-19 pandemic on lung cancer diagnosis and treatment. Med Clin (Barc). 2022 Feb 11;158(3):138-139. English, Spanish. doi: 10.1016/j.medcli.2021.07.004. Epub 2021 Jul 26. PMID: 34465451; PMCID: PMC8310721. [ Links ]

6. García Virosta M, Ortega I, Ferrero E, Picardo AL. Diagnostic Delay During the COVID-19 Pandemic: Liver Abscess Secondary to Acute Lithiasic Cholecystitis. Cir Esp (Engl Ed). 2020 Aug-Sep;98(7):409. English, Spanish. doi: 10.1016/j.ciresp.2020.04.010. Epub 2020 Apr 16. PMID: 32408994; PMCID: PMC7161489. [ Links ]

7. Maringe, C. et al. The impact of the COVID-19 pandemic on cancer deaths due to delays in diagnosis in England, UK: a national, population-based, modelling study. Lancet Oncol. (2020). doi: 10.1016/S1470-2045(20)30388-0 [ Links ]

8. GBD 2015 Disease and Injury Incidence and Prevalence Collaborators. Global, regional, and national incidence, prevalence, and years lived with disability for 310 diseases and injuries, 1990-2015: A systematic analysis for the Global Burden of Disease Study 2015. Lancet Lond Engl., 388 (2016), pp. 1545-1602. [ Links ]

9. Vicente-Herrero MT, Casal Fuentes ST, Espí-López GV, Fernández-Montero A. Dolor lumbar en trabajadores. Riesgos laborales y variables relacionadas. Revista Colombiana de Reumatología. 2019;26(4):236-46. [ Links ]

Recibido: 27 de Mayo de 2024; Aprobado: 21 de Marzo de 2020

Correspondencia: Jose Nobrega de Franca. Dirección postal: Servicio de Prevención de Riesgos Laborales de Osasunbidea, C. de Irunlarrea, 3, 31008 Pamplona, Navarra. Correo electrónico: ja.nobrega.defranca@navarra.es

Creative Commons License Este es un artículo publicado en acceso abierto bajo una licencia Creative Commons